能量
ADP + Pi +
ATP
酶 2
注:能量不可逆,物质可逆。
14.有氧呼吸的过程?(必修1模块第93-94页)
酶
15.有氧呼吸和无氧呼吸的异同?(必修1模块第93-95页)
有氧呼吸
无氧呼吸
呼吸场所
第一阶段:细胞质基质
第二、三阶段:线粒体
16.叶绿体中含有哪些与光合作用有光的色素?(必修1模块第98-99页)
试题详情

叶绿素a (蓝绿色)
试题详情
叶绿素 主要吸收红光和蓝紫光
叶绿素b (黄绿色)
色素
试题详情

胡萝卜素 (橙黄色)
类胡萝卜素 主要吸收蓝紫光
叶黄素 (黄色)
试题详情
17.光合作用进行的场所在哪里?(必修1模块第99页)
光合作用的场所在叶绿体
光合色素(在类囊体的薄膜上):
捕获光能的结构――叶绿体的结构:外膜,内膜,基质,基粒(由类囊体构成),与光合作用有关的酶分布于基粒的类囊体及基质中。光合作用色素分布于类囊体的薄膜上。
试题详情
18.光合作用发现的过程?(必修1模块第101―102页)
(1)1771年,英国的普里斯特利指出:植物可以
更新空气。
(2)1864年,德国的萨克斯证明:绿色叶片在光合作用中产生了淀粉。
验证光合作用需要光的有关内容:①取大小、长势相同的甲、乙两植物,在_在黑暗中_处理24小时,使叶片中的_淀粉耗尽:②向甲植物提供充足的光照,乙植物黑暗处理(作_对照组_),保持其它培养条件相同:③几小时以后,分别将甲、乙植株上的叶片摘下。用酒精隔水加热,脱去叶绿素:再用清水冲洗后,用碘液检验是否有淀物产生。④实验现象:甲叶片变蓝,乙叶片不变蓝。③实验结论:植物的光合作用需要光照。
(3)1880年,美国科学家恩格尔曼证明:O2是由叶绿体释放出来的,叶绿体是绿色植物进行光合作用的场所。
(4)20世纪30年代,美国的鲁宾和卡门用同位素标记法证明:光合作用释放的氧全部来自水。
试题详情
19. 光合作用是如何进行的?光合作用的总反应方程式是什么?(必修1模块第103页)
试题详情

酶
试题详情
总反应式:CO2+H2O
(CH2O)+O2 其中,(CH2O)表示糖类。
叶绿体
试题详情
20.比较光反应和暗反应的区别和联系是什么?(必修1模块第103―104页)
光反应阶段
暗反应阶段
进行场所
叶绿体类囊体薄膜
叶绿体基质
所需条件
光、色素、酶
酶、[H]、ATP
物质变化
水的光解:H2O→[H]+02
ATP的合成:ADP+Pi→ATP
CO2的固定:CO2+C5→2C3
C3的还原:C3+[H]+ATP→(CH2O)+C5
ATP的水解:ATP→ADP+Pi
能量转换
光能→ATP中活跃的化学能
ATP中活跃的化学能→有机物中稳定的化学能
联系
光反应为暗反应提供[H]、ATP
试题详情
21.影响光合作用速率的因素有哪些?(必修1模块第104页)
影响光合作用的因素:光照强度、温度、CO2的浓度等
试题详情
22.根据光合作用的原理,在农业生产上有哪些措施可以提高产量?(必修1模块第104-105页)
农业生产以及温室中提高农作物产量的方法:延长光照时间、增加光照强度、增加CO2的浓度,适当提高温度等
例如:
①农业上采用套种、合理密植等措施使农作物充分吸收阳光以达到增产的目的
②利用大棚适当延长光照时间、提高CO2浓度和温度,提高光合作用的效率
试题详情
试题详情
1.细胞是通过什么方式增殖的,其增殖有何意义?(必修1模块第111-112页)
细胞是通过分裂的方式增殖的。
意义:细胞增殖是重要的细胞生命活动,是生物体生长、发育、繁殖、遗传的基础
试题详情
2.真核细胞有哪些增殖方式?(必修1模块第112页)
三种:①有丝分裂②无丝分裂③减数分裂
试题详情
3、动、植物细胞有丝分裂各个时期细胞有什么特征?(必修1模块第111-112页)
细胞周期
分裂间期
完成DNA分子的复制和有关蛋白质的合成(DNA数目加倍)
分裂期
前期
两出现:染色体出现、纺锤体出现
两消失:核膜、核仁消失
染色体散乱排列
中期
染色体的着丝点排列在赤道板上
(观察染色体的最佳时期)
试题详情

后期
着丝点分裂、姐妹染色单体分离
(染色体数目加倍)
试题详情

末期
两消失:染色体消失、纺锤体消失
两出现:核膜、核仁出现
细胞一分为二
试题详情
4. 动、植物细胞有丝分裂的区别有哪些?(必修1模块第113-114页)
前期
末期
区别
纺锤体的形成方式
子细胞的形成方式
植物
细胞的两极直接发出纺锤丝,构成纺锤体
在赤道板的位置形成细胞板,细胞板向周围扩散形成细胞壁
动物
中心体发出星射线,构成纺锤体
细胞膜从细胞的中部向内凹陷,直接缢裂成两个子细胞
试题详情
5.有丝分裂的特征和意义? (必修1模块第113-114页)
特征:在有丝分裂的过程中,染色体复制一次,细胞分裂一次,分裂结果是染色体平均分配到两个子细胞中。
意义:将亲代细胞的染色体经复制后,精确地平均分配到两个子细胞中。因而在细胞的亲代和子代之间保持了遗传性状的稳定性。
试题详情
6.无丝分裂的特点是什么?请举出进行无丝分裂的特例。(必修1模块第114页)
无丝分裂过程中无纺锤丝和染色体的变化,所以叫无丝分裂。例如:蛙的红细胞。
试题详情
7.有丝分裂过程染色体、染色单体、DNA分子的数目变化规律是什么?
试题详情
试题详情
试题详情
1. 什么是细胞分化?(必修1P117-118)
在个体发育中,由一个或一种细胞增殖产生的后代,在形态、结构和生理功能上发生稳定性差异的过程,叫做细胞分化。
试题详情
2.细胞分化的特点?(必修1P118)
细胞分化的特点是具有持久性,一般来说,分化了的细胞将一直保持分化后的状态,直到死亡。
试题详情
3.细胞分化的意义?(必修1P118)
①是生物个体发育的基础。
②通过细胞分化,能形成具有特定形态、结构和功能的组织和器官。
③通过分化使细胞专门化,有利于提高各种生理功能的效率。
试题详情
4.细胞分化的实例?(必修1P117)
在动物胚胎发育过程中,一群相似的胚胎细胞。后来,有的细胞发育成红细胞,合成运输氧的血红蛋白;有的细胞发育为心肌细胞,合成行使运动功能的蛋白。
试题详情
5.细胞分化的基础?
高等生物的发育是从一个受精卵开始的,通过有丝分裂形成多个细胞,每个细胞都应含有一套与受精卵完全相同的染色体,即携带有本物种的全部遗传信息。
试题详情
6.细胞分化的实质?
在个体发育中,细胞分化实质上是在遗传物质的控制下合成特异性蛋白质的过程。即基因的选择性表达。
试题详情
7.胰岛细胞产生胰岛素,红细胞产生血红蛋白,这两种细胞合成蛋白质不同则它们基因组成是否相同?为什么?
相同,因为体内的所有组织细胞都由受精卵通过有丝分裂形成的,它们含有一套与受精卵完全相同的染色体,所以这两种细胞中的基因组成完全相同。
试题详情
8.细胞分裂、分化和生长的关系?
①联系:细胞分裂是细胞分化和细胞生长的基础。
②区别:细胞分裂数变形不变,细胞分化形变数不变,细胞生长仅是大小变。
试题详情
9.由一个受精卵最终发育成一个新的多细胞个体需要经过细胞的哪些变化?
细胞分裂和细胞分化。
试题详情
10.细胞全能性的概念和实例?(必修1P119)
细胞全能性是指已经分化的细胞,仍然具有发育成完整个体的潜能。例如胡萝卜的韧皮部的一些细胞,在某些条件下进行分裂和生长,形成一个细胞团块,继而分化出根、茎和叶,移栽后长成了一株新的植株。
试题详情
11.细胞全能性的原因?
由于体细胞是由受精卵经有丝分裂产生的,细胞核内含有全套的遗传信息。
试题详情
12.细胞全能性的表现?
①植物细胞具有全能性。
②动物细胞的全能性受限制,细胞核具有全能性。
③分化程度与全能性成反比。
试题详情
13.细胞全能性的应用?(必修P119)
现在人们可以利用植物细胞的全能性,通过植物组织培养的方法,快速繁殖花卉和蔬菜等作物,拯救珍稀濒危物种,还可以和基因工程结合培育新类型。
试题详情
14. 动物体内各种类型的细胞中具有最高全能性的细胞是什么?人体内什么细胞没有过全能性?为什么?
受精卵。成熟的红细胞,它没有细胞核。
试题详情
15.细胞衰老的特征?(必修1P122)
①细胞内水分减少,结果使细胞萎缩,体积变小,细胞内新陈代谢的速率减慢。
②细胞内多种酶的活性降低。
③细胞内的色素会随着细胞衰老而逐渐积累,它们会妨碍细胞内物质的交流和传递,影响细胞正常的生理功能。
④细胞内呼吸速率减慢,细胞核的体积增大,核膜内折,染色质收缩,染色加深。
⑤细胞膜通透性改变,使物质运输功能降低。
试题详情
16.细胞凋亡的含义?(必修1P123)
由基因所决定的细胞自动结束生命的过程,就叫细胞凋亡。
试题详情
17.个体衰老与细胞衰老的关系?(必修1P121)
①个体衰老与细胞衰老都是生物体正常的生命现象。从总体上看,个体衰老的过程也是组成个体细胞普遍衰老的过程。
②对单细胞生物体来说,细胞的衰老或死亡就是个体的衰老或死亡。
③对多细胞生物体来说,细胞的衰老和死亡不等于个体的衰老和死亡,如幼年个体中每天都有细胞衰老、死亡。个体的衰老不等于细胞的衰老,如老年个体中每天也有新细胞的产生。
试题详情
18.细胞凋亡的意义?(必修1P124)
①细胞凋亡是生物体正常发育的基础。
②细胞凋亡能维持组织中细胞数目的相对平衡。
③细胞凋亡是机体的自我保护机制。
试题详情
试题详情
20.癌细胞的主要特征?(必修1P125-126)
①能无限增殖。
②形态结构发生明显变化。例如,正常的成纤维细胞呈扁平梭形,癌变后变成球形
③容易在体内分散和转移。表面发生了变化,细胞膜上的糖蛋白等物质减少,使得癌细胞彼此之间的黏着性显著降低。
试题详情
21.致癌因子有哪些?(必修1P126)
①物理致癌因子:主要指辐射,如紫外线、X射线等。
②化学致癌因子:无机化合物如石棉等,有机化合物如黄曲霉素等。
③病毒致癌因子:是指能使细胞发生癌变的病毒。
试题详情
22.健康的生活方式与防癌。(必修1P127)
①远离致癌因子。
②健康的饮食和饮食习惯。
③健康的生活方式,如不要长时间上网。
试题详情
23.癌症如何治疗及其机理?
治疗方法:已有手术切除、化疗和放疗等手段。化疗的机理是抑制DNA复制,使细胞分裂停留在分裂间期。放疗是利用射线的高能量杀死癌细胞。
试题详情
试题详情
1.检测生物组织中还原糖的原理?(必修1P18)
还原糖与斐林试剂发生作用,在水浴中加热,会生成砖红色沉淀。
试题详情
2.检测生物组织中脂肪的原理?(必修1P18)
脂肪可以被苏丹III染液染成橘黄色,或被苏丹IV染液染成红色。
试题详情
3.检测生物组织中蛋白质的原理?(必修1P18)
蛋白质与双缩脲试剂发生作用,产生紫色反应。
试题详情
4.检测生物组织中还原糖的方法步骤?(必修1P18)
①向试管内注入2ml待测的组织样液。
②向试管内注入1ml斐林试剂。
③将试管放入盛有50~65℃温水的大烧杯中加热约2min。
④观察试管中出现的颜色变化。
试题详情
5. 检测生物组织中脂肪的方法步骤?(必修1P18~19)
方法一:向待测组织样液中滴加3滴苏丹III(或苏丹IV)染液,观察样液被染色的情况。
方法二:
①取材:取一粒浸泡过的花生种子,去掉种皮。
②切片:用刀片在花生子叶的横断面上平行切下若干薄片,放入盛有清水的培养皿中待用。
③制片:从培养皿中选取最薄的切片,用毛笔蘸取放在载玻片中央,在花生子叶薄片上滴2~3滴苏丹III(或苏丹IV)染液,染色3min(苏丹IV染液中染色1min),用吸水纸吸去染液,再滴加1~2滴体积分数为50%的酒精溶液,洗去浮色,用吸水纸吸去花生子叶周围的酒精,滴一滴蒸馏水,盖上盖玻片,制成临时装片。
④观察:在低倍显微镜下找到花生子叶的最薄处,移到视野中央,将影像调节清楚,换成高倍镜观察,视野中被染成橘黄色或红色的脂肪颗粒清晰可见。
试题详情
6. 检测生物组织中蛋白质的方法步骤?(必修1P19)
①向试管内注入2ml待测的组织样液。
②向试管内注入双缩脲试剂A液1ml,摇匀。
③向试管内注入双缩脲试剂B液4滴,摇匀。
④观察试管中出现的颜色变化。
试题详情
7.在鉴定苹果组织样液中的还原糖时,将鉴定用的什么试剂注入样液试管后,样液颜色呈蓝色?经什么处理后,试管中的样液颜色变成什么颜色?
在鉴定苹果组织样液中的还原糖时,将鉴定用的斐林试剂注入样液试管后,样液颜色呈蓝色。经水浴加热处理后,试管中的样液颜色变成砖红色沉淀。
试题详情
试题详情
先加双缩脲试剂A(0.1g/mLNaOH溶液),后加双缩脲试剂B(0.01g/mLCuSO4溶液)。
试题详情
9.斐林试剂和双缩脲试剂组成相似,斐林试剂能否能否用于蛋白质的鉴定?这两种试剂的使用有何区别?
不能,因为两者浓度不同。斐林试剂两种组分需混合后使用,且需现配现用,而双缩脲试剂两种组分需分别滴加。
试题详情
10.还原糖、脂肪、蛋白质鉴定实验中需加热的是?需用显微镜观察的是?
斐林试剂鉴定还原糖需加热出现砖红色沉淀。苏丹III染液鉴定脂肪需用显微镜观察。
试题详情
11.观察植物细胞的质壁分离和复原的实验原理?
原生质层相当于一层半透膜,当原生质层两侧的液体具有浓度差时,细胞就会发生渗透作用失水或吸水。
试题详情
12.观察植物细胞的质壁分离和复原的实验方法及步骤?(必修1P62)
①制作洋葱鳞片叶外表皮的临时装片。
②用低倍显微镜观察洋葱鳞片叶表皮细胞中紫色的中央液泡的大小,以及原生质层的位置。
③从盖玻片的一侧滴入蔗糖溶液,在盖玻片的另一侧用吸水纸吸引。这样重复几次,盖玻片下面的洋葱鳞片叶表皮就浸润在蔗糖溶液中。
④用低倍显微镜观察,看细胞的中央液泡是否逐渐变小,原生质层在什么位置,细胞大小是否变化。
⑤在盖玻片的一侧滴入清水,在盖玻片的另一侧用吸水纸吸引。这样重复几次,洋葱鳞片叶表皮又浸润在清水中。
⑥用低倍显微镜观察,看中央液泡是否逐渐变大,原生质层的位置有没有变化,细胞的大小有没有变化。
试题详情
13.什么是质壁分离?(必修1P63)
质指原生质层,壁指细胞壁,质壁分离是指原生质层与细胞壁的分离。
试题详情
14.质壁分离实验中,洋葱表皮细胞中的什么可以看做是一层半透膜,浓度差是指什么? (必修1P63)
原生质层可以看做是一层半透膜,是指细胞膜、液泡膜以及两层膜间的细胞质。浓度差是指外界溶液和细胞液浓度的差。
试题详情
15. 质壁分离后,在原生质层和细胞壁之间的充满是什么?为什么?
外界溶液,因为细胞壁具有全透性。
试题详情
16.探究影响酶活性的因素实验选择哪一种酶作实验材料?(必修1P84)
选用淀粉酶探究温度对酶活性的影响,用过氧化氢酶探究pH对酶活性的影响。
试题详情
17.探究影响酶活性的因素实验原理?(必修1P84)
酶一般都是蛋白质,根据蛋白质的结构和特性,容易受到温度和pH等因素的影响。
试题详情
18.探究影响酶活性的因素实验方法步骤?(必修1P84)
①提出问题:根据教材提供的材料和已有酶的知识,提出问题。例如:温度影响酶的活性吗?超出温度(或pH)的范围,酶还有活性吗?
②作出假设:要针对问题作出假设。例如:温度会影响酶的活性,超出范围就失去活性;pH也会影响酶的活性,超出范围酶会失去活性。
③设计实验:(1)选择实验材料。
(2)根据假设预测实验现象和实验结果。
(3)确定控制变量。
(4)减少无关变量的影响。
试题详情
19.温度对酶活性的影响?(必修1P85)
在一定温度范围内,酶活性随温度升高而增强,其中酶的活性最高时的温度,即为该种酶的最适温度。若超过最适温度,酶的活性逐渐下降,甚至停止。高温使酶变性失活,活性不能恢复。低温仅降低活性,不失活,活性可恢复。
试题详情
20.pH对酶活性的影响?(必修1P85)
每种酶只能在一定限度的pH范围内表现出活性,其中酶的活性最高时的pH,即为该种酶的最适pH。在过酸或过碱环境中,酶失去活性,并且不能再恢复。
试题详情
21.叶绿体色素提取和分离实验材料用具?(必修1P98)
新鲜的绿叶(如菠菜的绿叶)、干燥的定性滤纸、试管、棉塞、研钵、玻璃漏斗、尼龙布、毛细吸管、剪刀、药勺、天平、量筒、试管架。
试题详情
22.叶绿体色素提取和分离实验方法步骤?(必修1P98)
①提取绿叶中的色素:称取5g绿叶,剪碎,放入研钵中研磨。同时向研钵中放入少许二氧化硅和碳酸钙,再加入10mL无水乙醇。将研磨得到的液体迅速倒入玻璃漏斗中进行过滤。将滤液收集到试管中,及时用棉塞将试管口塞严。
②制备滤纸条:将干燥的定性滤纸剪成长与宽略小于试管的滤纸条,将滤纸条一端剪去两角,并在距这端1cm处用铅笔画一条细的横线。
③画滤液细线:用毛细吸管吸取少量滤液,沿铅笔线均匀地画出一条细线。待滤液干后,再画一两次。
④分离绿叶中的色素:将滤纸条有滤液细线的一端轻轻插入层析液中,盖紧试管口。
⑤观察与记录:观察滤纸条上出现了几条色素带,及每条色素带的颜色。将观察结果记录下来。
试题详情
23.在研磨的时候为什么要加入二氧化硅和碳酸钙?(必修1P98)
加入二氧化硅有助于研磨充分,加入碳酸钙是防止研磨中色素被破坏。
试题详情
24.将滤纸条放入层析液中时应注意什么?(必修1P98)
应注意不能让滤液细线触及层析液,防止色素色素溶入层析液。
试题详情
25.叶绿体色素提取和分离实验原理?(必修1P97)
滤液中的色素能够溶解在有机溶剂中,所以可以用无水乙醇提取绿叶中的色素。绿叶中的色素不止一种,它们都能溶解在层析液中。然而,它们在层析液中的溶解度不同,溶解度大的扩散的快,反之则慢。这样,几分钟后,色素就会随层析液在滤纸上的扩散而分离开。
试题详情
26.滤纸条上有几条不同颜色的色带?其排序怎样?
有四种,从上往下其颜色依次是:橙黄色、黄色、蓝绿色、黄绿色。
试题详情
27.绿叶中的色素有哪几种?它们对光的吸收情况怎样?(必修1P99)
有四种,胡萝卜素、叶黄素、叶绿素a、叶绿素b。四种色素都能吸收蓝紫光,两种叶绿素还多吸收了红橙光,但它们对绿光的吸收都较少。
试题详情
28.探究酵母菌细胞呼吸的方式实验原理?(必修1P91)
酵母菌是一种单细胞真菌,在有氧和无氧的条件下都能生存,属于兼性厌氧菌,因此便于研究细胞呼吸的不同方式。
试题详情
29.实验材料用具和实验方法步骤?(必修1P92)
(1)提出问题:酵母菌会产生酒精,是在有氧条件下产生还是在无氧条件下产生的。酵母菌的细胞呼吸会产生二氧化碳,是在有氧条件下产生还是在无氧条件下产生的。
(2)作出假设:酵母菌在无氧条件下会产生酒精,同时产生少量二氧化碳,在有氧条件下产生的二氧化碳的较多。
(3)设计实验
①酵母菌培养液的配置。
②检测二氧化碳的产生。
③检测酒精的产生。
(4)实验操作:根据实验设计进行操作,并记录。
(5)结果分析。
试题详情
30.如何检测二氧化碳的产生?(必修1P92)
二氧化碳可以是澄清石灰水变混浊,也可以使溴麝香草酚蓝水溶液由蓝变绿再变蓝。
试题详情
31.如何检测酒精的产生?(必修1P92)
橙色的重铬酸甲溶液,在酸性条件下与酒精发生化学反应,变成灰绿色。
试题详情
32.实验结果分析。
两个装置中澄清石灰水都变混浊,说明都有二氧化碳产生。其中在有氧条件下的装置中混浊快且程度高,说明该条件下产生二氧化碳多。在无氧条件下,橙色的重铬酸甲溶液中变灰绿色,说明有酒精产生,而有氧条件下无,则说明无酒精产生。结论:有氧条件下酵母菌细胞呼吸产生大量的二氧化碳和水,在无氧条件下,产生酒精和少量二氧化碳。
必修二生物复习资料
试题详情
试题详情
1、减数分裂的概念(必修2
P16)
减数分裂是进行有性生殖的生物在产生成熟生殖细胞时,进行的染色体数目减半的细胞分裂。
试题详情
2、减数分裂的过程(必修2
P16)
染色体只复制一次,而细胞分裂两次。
试题详情
3、减数分裂的结果是什么?(必修2 P16)
减数分裂的结果是,成熟生殖细胞中的染色体数目比原始生殖细胞的减少一半。
试题详情
试题详情
5、精子的形成过程(必修2
P17)
复 制
变 形
试题详情
精原细胞 初级精母细胞 次级精母细胞 精细胞
精子
间 期
减数第一
减数第二
次分裂
次分裂
试题详情
试题详情
试题详情
卵原细胞
初级卵母细胞 次级卵母细胞
卵细胞
间 期
减数第一
减数第二
次分裂
次分裂
试题详情
8、减数分裂中染色体的行为变化:
行为变化
发生时期
特 点
复制
间期
每条染色体形成了由一个着丝点连着的两条染色单体
联会、交叉互换
减Ⅰ前期
同源染色体两两配对,形成四分体,此时往往发生同源染色体上非姐妹染色单体片段的交叉互换现象。
分离、组合
减Ⅰ后期
同源染色体分离,非同源染色体自由组合
分裂
减Ⅱ后期
连接两条姐妹染色单体的着丝点分裂,染色单体消失,实现了复制的遗传物质的平均分配。
试题详情
9、减数第一次分裂与减数第二次分裂的比较
项目
减数第一次分裂
减数第二次分裂
着丝点
不分裂
分裂
染色体
试题详情
2n n,减半
试题详情

n 2n n,不减半
DNA
试题详情
4n 2n,减半
试题详情
2n n,减半
染色行为
染色体联会,分离
染色单体分开
试题详情
10、卵细胞与精子形成过程的比较
项目
精子
卵细胞
场所
睾丸
卵巢
减数第二
次分裂
两个次级精母细胞形成
4个大小一样的精细胞
1个次级精母细胞形成1个卵细胞和
1个极体,原来的极体分裂成两个极体。
变形
精细胞变形,成为精子
不经变形
结果
产生4个精子
产生1个卵细胞,三个极体退化消失
相同点
都是染色体复制一次,细胞连续分裂两次,子细胞染色体数目均减半。
试题详情
11、同源染色体的概念(必修2
P18)
配对的两条染色体,形状和大小一般都相同,一条来自父方,一条来自母方,叫做同源染色体。
试题详情
12、减数第一次分裂的主要特征(必修2 P17)
同源染色体配对――联会。
四分体中的非姐妹染色单体发生交叉互换。
同源染色体分离,分别移向细胞两极。
试题详情
13、减数第二次分裂的主要特征(必修2 P17)
染色体不再复制。每条染色体的着丝点分裂。
姐妹染色单体分开,分别移向细胞的两极。
试题详情
14、配子的形成与生物个体发育的联系(必修2 P25)
由于减数分裂形成的配子,染色体组成具有多样性,导致不同配子遗传物质的差异,加上受精过程中卵细胞和精子结合的随机性,同一双亲的后代必然呈现多样性。
试题详情
15、受精作用的特点(必修2
P24)
特点:(1)只有精子头部进入卵细胞内
(2)一个精子和一个卵细胞融合形成一个受精卵
试题详情
16、减数分裂和受精作用的意义(必修2 P25)
减数分裂和受精作用对于维持每种生物前后代体细胞中染色体数目的恒定,对于生物的遗传和变异,都是十分重要的。
试题详情
试题详情
试题详情
1、无毒R型活细菌(注射)小鼠:小鼠不死亡
试题详情
试题详情
试题详情
4、无毒R型活细菌 + 加热后杀死的S型细菌混合后(注射)小鼠:小鼠死亡
试题详情
2、格里菲思体内转化实验的结论(必修2 P44)
加热杀死的S型细菌内有“转化因子”,促进R型细菌转化为S型细菌
试题详情
试题详情
1、R型细菌+S型细菌的DNA混合培养后培养基中有:R型细菌和S型细菌
试题详情
2、R型细菌+S型细菌的蛋白质混合后培养培养基中有:只长R型细菌
试题详情
3、R型细菌+S型细菌的多糖混合培养后培养基中有:只长R型细菌
试题详情
4、R型细菌+S型细菌的DNA+DNA酶混合培养后培养基中有:只长R型细菌
试题详情
4、艾弗里体外转化实验的结论(必修2 P43)
DNA是使R型细菌产生稳定遗传变化的物质,即DNA是遗传物质,其他物质不是遗传物质。
试题详情
5、噬菌体侵染细菌的实验方法(必修2 P45)
放射性同位素标记法
试题详情
6、T2噬菌体的构成
T2噬菌体是一种寄生在细菌体内的病毒,头尾的外壳由蛋白质构成,头部含有DNA。
试题详情
7、噬菌体侵染细菌的过程
吸附――注入――复制――合成――释放
试题详情
8、噬菌体侵染细菌的实验过程(必修2 P45)
①标记噬菌体,用分别含35S、32P的培养基培养细菌,再分别培养含35S和32P的噬菌体
②含35S的噬菌体+细菌(混合培养)搅拌、离心(结果)上清液放射性高,沉淀物放射性很低
③含32P的噬菌体+细菌(混合培养)搅拌、离心(结果)上清液放射性低,沉淀物放射性很高
试题详情
9、噬菌体侵染细菌的实验结论(必修2 P45)
在噬菌体中,亲子代之间具有连续性的物质是DNA而不是蛋白质 ,噬菌体的各种性状是通过亲代的遗传给后代的,因而DNA是遗传物质
试题详情
10、烟草花叶病毒的感染实验说明了什么问题?(必修2 P46)
在无DNA 情况下,RNA是遗传物质。
试题详情
11、DNA分子的基本单位(必修2 P42)
脱氧核糖核苷酸
试题详情
12、DNA分子双螺旋结构的主要特点(必修2 P49)
(1)DNA分子是由两条链组成的,这两条链按反向平行方式盘旋成双螺旋结构。
(2)DNA分子中的脱氧核糖和磷酸交替连接,排列在外侧,构成基本骨架;碱基排列在内侧。
(3)两条链上的碱基通过氢键连接成碱基对,并且碱基配对有一定的规律:
A(腺嘌呤)一定与T(胸腺嘧啶)配对; G(鸟嘌呤)一定与C(胞嘧啶)配对。
试题详情
13、DNA分子的多样性(必修2 P57)
碱基排列顺序的千变万化,构成了DNA分子的多样性。
试题详情
14、DNA分子的特异性(必修2 P57)
碱基的特定的排列顺序,构成了每一个DNA分子的特异性。
试题详情
15、基因和DNA的关系(必修2 P57)
基因是有遗传效应的DNA片段
试题详情
16、遗传信息的概念(必修2
P57)
遗传信息蕴藏在4种碱基的排列顺序之中。
试题详情
17、DNA分子复制及其条件(必修2 P54)
DNA分子的复制是一个边解旋边复制的过程,复制需要模板、原料、能量和酶等基本条件。
试题详情
18、DNA分子复制的特点(必修2 P54)
半保留复制
试题详情
19、DNA分子复制的实质及意义(必修2 P54)
DNA分子通过复制,将遗传信息从亲代传给了子代,从而保持了遗传信息的连续性。
试题详情
20、基因控制蛋白质合成的过程(必修2 P62)
转录和翻译
RNA是在细胞核中,以DNA的一条链为模板合成的,这一过程称为转录。
游离在细胞质中的各种氨基酸,就以mRNA为模板合成具有一定氨基酸顺序的蛋白质,这一过程叫做翻译。
试题详情
21、遗传密码子与氨基酸的关系(必修2 P64)
mRNA上3个相邻的碱基决定1个氨基酸,每3个这样的碱基又称做一个密码子。
试题详情
试题详情
试题详情
试题详情
试题详情
24、DNA分子中碱基比例计算公式
双链DNA分子
DNA分子的1链
DNA分子的2链(互补链)
① A=T G=C
A≠T G≠C
A≠T G≠C
试题详情
②
=k(k≠1)
试题详情
=k(k≠1)
试题详情
=k(k≠1)
试题详情
③ 
试题详情
=a(a≠1)
试题详情
=
(a≠1)
试题详情
④ 
试题详情
试题详情
试题详情
⑤ 
试题详情
试题详情
试题详情
⑥
试题详情
试题详情
1.孟德尔遗传实验的科学方法是什么?(必修2P11)
正确地选用实验材料;由单因子到多因子的研究方法;应用统计学方法对实验结果进行分析;科学地设计了实验程序
试题详情
2.孟德尔实验实验获得成功的原因(必修2P11)
创造性地运用科学方法,扎实的基础知识和对科学的热爱,严谨的科学态度,勤于实践,敢于向传统挑战
试题详情
3.为什么用豌豆做遗传实验容易取得成功?(必修2P2-3)
自花传粉、闭花受粉、具有易于区分的性状
试题详情
4.相对性状的概念? (必修2P3)
一种生物的同一种性状的不同表现类型,如种子的圆滑与皱缩
试题详情
5.显性性状:(必修2P4)
孟德尔把F1中显现出来的性状
试题详情
6.隐性性状:(必修2P4)
孟德尔把F1中未显现出来的性状
试题详情
7.性状分离的概念(必修2P4)
在杂种后代中,同时出现显性性状和隐性性状的现象叫做性状分离。
试题详情
8.孟得尔对分离现象的原因提出的假说是?(必修2P5)
生物的性状是由遗传因子决定的;体细胞中遗传因子是成对存在的;在形成生殖细胞时,成对的遗传因子彼此分离,进入不同的配子中;受精时,雌雄配子的结合是随机的。
试题详情
9.Dd(D控制高茎,d控制矮茎)的自交后代表现型及比例?后代基因型及比例?产生的配子的种类及比例?(必修2P4)
高茎:矮茎=3:1;DD:Dd:dd=1:2:1;D:d=1:1
试题详情
10.等位基因的概念及实例。在减数分裂时,等位基因的分离比是多少?(必修2P11)
控制相对性状的基因,叫做等位基因。如D与d。1:1
试题详情
11.杂合子与纯合子的概念及实例(必修2P5)
杂合子:遗传因子组成不同的个体,如Dd,AaBB。
纯合子:遗传因子组成相同的个体,如AA,AAbb。
试题详情
12.测交的概念及测交后代的比例(必修2P7)
测交是让F1与隐性纯合子杂交。后代性状的分离比为1:1
试题详情
13.遗传的分离定律的实质(必修2P7)
在杂合体的细胞中,位于一对同源染色体上的等位基因,具有一定的独立性;在减数分裂形成配子的过程中,等位基因会随同源染色体的分开而分离,分别进入两个配子中,独立地随配子遗传给后代。
试题详情
14.YyRr(两对基因位于两对同源染色体上)的个体产生的配子的种类及比例,自交产生的后代的表现型比例是怎样的?与双隐性纯合子杂交,后代基因型、表现型比例分别是怎样的?其中每对相对性状遗传时遵循什么定律?(必修2P10)
YR:Yr:yR:yr=1:1:1:1;9:3:3:1;1:1:1:1;1:1:1:1;分离定律
试题详情
15.自由组合定律的实质是什么?(必修2P11)
位于非同源染色体上的非等位基因的分离或组合是互不干扰的;在减数分裂过程中,同源染色体上的等位基因彼此分离的同时,非同源染色体上的非等位基因自由组合。
试题详情
16.中心法则的提出和表达式是怎样的?(必修2P68)
1957年克里克提出; 表达式略(参照P68图4-7)补充RNA流向RNA RNA流向DNA
试题详情
17.基因、蛋白质与性状的关系(必修2P69-70)
基因是通过控制酶的合成来控制代谢过程,进而控制生物体的性状;基因还能通过控制蛋白质的结构直接控制生物体的性状。
试题详情
18.白化病人体内缺少什么酶?(必修2P69)
酪氨酸酶
试题详情
19.基因与染色体的关系是怎样的?原因是什么?(必修2P29)
基因在染色体上(呈线性排列),原因是基因和染色体行为存在着明显的平行关系。
试题详情
20.科学家发现基因和染色体行为存在有哪些平行关系?(必修2P27)
(1)基因在杂交过程中保持完整性和独立性。染色体在配子形成和受精过程中,也有相对稳定的形态结构。
(2)在体细胞中基因成对存在,染色体也是成对的。在配子中成对的基因只有一个,同样,成对的染色体也只有一条。
(3)体细胞中成对的基因一个来自父方,一个来自母
(4)非等位基因在形成配子时自由组合,非同源染色体在减数第一次分裂后期也是自由组合的。
试题详情
21.伴性遗传的概念。红绿色盲的遗传特点是什么?(必修2P33)
位于性染色体上的基因,遗传上总是和性别相关联,这种现象叫做伴性遗传。
患者男性多于女性、交叉遗传、一般为隔代遗传。
试题详情
22.白化病、红绿色盲的遗传病的遗传方式、遗传特点分别是什么?
白化病:常染色体上的隐性遗传病;隔代遗传
红绿色盲:X染色体上的隐性遗传病。特点:患者男性多于女性、交叉遗传、一般为隔代遗传。
试题详情
试题详情
1.基因重组的概念(必修2P83)
基因重组是指在生物体进行有性生殖的过程中,控制不同性状的基因的重新组合。
试题详情
2.基因重组的实例(必修2P83)
两个同胞兄弟或同胞姊妹在遗传上不相同的主要原因
试题详情
3. 基因重组的意义?(必修2P83)
基因重组是生物变异的来源之一,对生物的进化也有重要的意义。
试题详情
4.基因突变的概念(必修2P81)
DNA分子中发生碱基对的替换、增添和缺失,而引起的基因结构的改变,叫做基因突变
试题详情
5.基因突变的原因(必修2P81)
细胞分裂间期DNA分子复制时,由于外界理化因素或自身生理因素引起的碱基对的替换、增添或缺失
试题详情
6.基因突变的特征(必修2P82)
基因突变在生物界中是普遍存在的;基因突变是随机发生的、不定向的;在自然状态下,基因突变的频率是很低的。
试题详情
7.基因突变的意义(必修2P82)
基因突变是新基因产生的途径;是生物变异的根本来源;是生物进化的原始材料。
试题详情
8.镰刀型细胞贫血症产生的根本原因是什么?(必修2P80)
基因突变
试题详情
9.染色体结构变异的类型(必修2P85)
染色体中某一片段缺失引起的变异;染色体中增加某一片段引起的变异;染色体的某一片段移接到另一条非同源染色体上引起的变异;染色体中某一片段位置颠倒也可引起变异。
试题详情
10.染色体数目变异的类型(必修2P86)
染色体数目的变异可以分为两类:一类是细胞内个别染色体的增加或减少,另一类是细胞内染色体数目以染色体组的形式成倍地增加或减少。
试题详情
11.染色体组的概念(必修2P86)
细胞中的一组非同源染色体,在形态和功能上各不相同,携带着控制生物生长发育的全部遗传信息,这样的一组染色体,叫做一个染色体组。
试题详情
12.二倍体的概念及实例(必修2P87)
二倍体,体细胞中含有两个染色体组的叫做二倍体。如动物、玉米
试题详情
13.多倍体的概念及实例(必修2P87)
由受精卵发育而成的个体,体细胞中含有三个或三个以上染色体组的叫做多倍体。如普通小麦是六倍体。
试题详情
14.单倍体的概念(必修2P87)
体细胞中含有本物种配子染色体数目的个体,叫做单倍体。
试题详情
15.六倍体普通小麦、二倍体玉米的单倍体中含染色体组数目分别是多少?(必修2P88)
3个、1个
试题详情
16.雄果蝇体细胞中的染色体组成?精子中的染色体组成?(必修2P86)
3对+XY;3+X或3+Y
试题详情
17.雌果蝇体细胞中的染色体组成?卵细胞中的染色体组成?(必修2P86)
3对+XX;3+X
试题详情
18.多倍体育种的原理、最常用最有效的方法及特点各是什么?(必修2P87)
染色体变异;用秋水仙素处理萌发的种子或幼苗;器官大,提高产量和营养成分
试题详情
19.秋水仙素诱导形成多倍体的机理是什么?(必修2P87)
抑制细胞分裂时纺锤体的形成
试题详情
20.诱变育种的概念、原理、优点、实例分别是什么? (必修2P100)
利用物理因素(如X射线、γ射线和、紫外线、激光等)或化学因素(如亚硝酸、硫酸二乙酯等)来处理生物,使生物发生基因突变;基因突变;可以提高突变率,在较短时间内获得更多的优良变异类型;生产青霉素的菌种。
试题详情
21.单倍体育种的原理、方法及特点各是什么?(必修2P88)
染色体变异;将F1的花粉通过花药离体培养的方法来获得单倍体,然后经过人工诱导使染色体数目加倍,得到正常的植株,然后从中选择出我们所需要的类型;明显缩短育种年限(自交后代不会发生性状分离)
试题详情
22.基因工程的概念?(必修2P102)
又叫基因拼接技术或DNA重组技术。通俗地说,就是按照人们的意愿,把一种生物的某种基因提取出来,加以修饰改造,然后放到另一种生物的细胞里,定向改造生物的遗传性状。
试题详情
23.转基因的过程(必修2P103)
提取目的基因、目的基因与运载体结合、将目的基因导入受体细胞和目的基因的表达和检测
试题详情
24. 基因工程的基本工具是什么?(必修2P102)
限制性核酸内切酶;DNA连接酶;基因的运载体
试题详情
25.基因的“剪刀”、“针线”分别是什么?(必修2P102)
限制性核酸内切酶;DNA连接酶
试题详情
26.基因的 “针线”连接的是什么?(必修2P103)
DNA连接酶“缝合”的是脱氧核糖和磷酸交替连接而构成的DNA骨架上的缺口。
试题详情
27.基因工程的原理是什么?(必修2P102)
基因重组
试题详情
28.基因工程的目的是什么?(必修2P102)
定向改造生物的遗传性状。
试题详情
29.基因的运载体有哪些?(必修2P103)
目前常用的有质粒、噬菌体、动植物病毒等
试题详情
30.基因的运载体的作用?(必修2P103)
将外源基因送入受体细胞的专门的运输工具
试题详情
31.转基因生物和转基因食品的安全性(必修2P105)
不安全,如使艾滋病像感冒一样,大范围传播;安全,如转基因食品的构成与非转基因食品相同
试题详情
32.对于转基因生物和转基因食品的安全性我国有和规定(必修2P106)
2001年5月,国务院公布了《农业转基因生物安全管理条例》
2.5人类遗传病
试题详情
1.人类遗传病的产生原因?特点?分类?(必修2 P90)
人类遗传病通常是指由于遗传物质改变而引起的人类疾病.具有发病率高、死亡率高及表现出家族遗传倾向的特点.主要可以分为单基因遗传病、多基因遗传病和染色体异常遗传病三大类.
试题详情
2.单基因遗传病的分类?(必修2 P90)
常染色体上的隐性遗传:白化病,先天性聋哑,苯丙酮尿症
常染色体上的显性遗传:并指,多指,软骨发育不全
X染色体上的隐性遗传:色盲,血友病,进行性肌营养不良
X染色体上的显性遗传:抗维生素D佝偻病
3.遗传病的产前诊断与优生有什么关系?(必修2 P92)
产前诊断是在胎儿出生前,医生用专门的检测手段,如羊水检查、B超检查、孕妇血细胞检查以及基因诊断等手段,确定胎儿是否患有某种遗传病或先天性疾病。
4.遗传咨询与优生有什么关系?(必修2 P92)
医生对咨询对象进行身体检查,了解家庭病史,对是否患有某种遗传病作出诊断。分析遗传病的传递方式。推算出后代的再发风险率。向咨询对象提出防治对策和建议,如终止妊娠、进行产前诊断等。
5.人类基因组计划的研究对象和目标是什么?(必修2 P92)
人类基因组计划的目的是测定人类基因组的全部DNA序列,解读其中包含的遗传信息。
6.人类基因组计划的意义是什么?(必修2 P93)
人类基因组计划的实施,对于人类疾病的诊治和预防具有重要意义。
2.6生物的进化
1.现代生物进化理论的主要内容是什么?(必修2 P114-124)
种群是生物进化的基本单位;突变和基因重组产生进化的原材料,自然选择导致种如意基因频率的定向改变;通过隔离形成新的物种;生物进化的过程实际上是生物与生物、生物与无机环境共同进化的过程,共同进化导致生物的多样性。
试题详情
2.生物进化的历程是怎样的?(必修2 P124-125)
距今35亿年前,生命的起源,古细菌出现;
距今约35亿-15亿年前,蓝藻和细菌出现;
距今约15亿年前,真核生物出现;
试题详情
距今约5.7亿-5.0亿年前的寒武纪,无脊椎动物出现;
距今约4亿年前,蕨类植物,原始两栖类,裸子植物,被子植物、鸟类、哺乳类依次出现。
试题详情
3.生物进化与生物多样性的关系是怎样的?(必修2 P124)
生物进化的过程实际上是物种之间、生物与无机环境共同进化的过程,共同进化导致生物的多样性。生物多样性主要包括三个层次的内容:基因多样性、物种多样性和生态系统多样性。
2.7实验
1.使用高倍显微镜观察细胞的减数分裂的实验原理是什么?(必修2 P21)
性原细胞(如精原细胞)能进行减数分裂形成性细胞(如精细胞),利用高倍显微镜观察蝗虫精母细胞减数分裂固定装片,通过观察细胞内染色体(或染色质)的存在状态,就可以判断细胞处于减数分裂的哪个时期,进而认识减数分裂的完整过程。
2.使用高倍显微镜观察细胞的减数分裂实验的材料、用具?(必修2 P21)
蝗虫精母细胞减数分裂固定装片,显微镜
3.使用高倍显微镜观察细胞的减数分裂的实验中,如何对结果进行分析?
(必修2 P21)
根据观察到的细胞内染色体的形态、位置和数目,判断细胞所处的减数分裂的哪个时期,根据观察结果,尽可能多地绘制减数分裂不同时期的细胞简图。
4.调查人群中的遗传病实验中的方法和过程是怎样的?(必修2 P91)
通过调查、自学和讨论的形式了解人类常见遗传病的类型。
先确定调查的目的要求,然后制定调查的计划,可分组开展,实施调查活动,调查时选取群体中发病率较高的单基因遗传病。调查的群体要足够大。根据汇总数据,计算每种遗传病的发病率。某种遗传病的发病率=(某种遗传病的患病人数/某种遗传病的被调查人数)x100%,整理、分析调查资料,得出调查结论,撰写调查报告。
5 .调查人群中的遗传病实验中,对结果如何进行分析?(必修2 P91)
根据调查结果,分析各种遗传病是否表现出家族遗传倾向,并判断它们的显隐性,通过公式计算每一种遗传病的发病率。
必修3 稳态与环境
试题详情
试题详情
试题详情
2. 植物向光性的原因是什么?(必修3,第48页)
外因:由于单侧光照射;
内因:胚芽鞘背光一侧生长素含量多于向光一侧,因而引起两侧的生长不均匀,从而造成向光弯曲。
试题详情
3. 生长素的产生、运输和分布(必修3,第48页)
产生:幼嫩的芽、叶和发育中的种子。
运输:生长素只能由形态学上端运向形态学下端,是极性运输;也是一种主动运输。在成熟组织中可以通过韧皮部进行非极性运输。
分布:生长旺盛的部位,如胚芽鞘、芽、和根顶端的分生组织、形成层、发育中的种子和果实等处。
试题详情
4.生长素的化学本质是什么?合成的原料是什么?(必修3,第48页)
化学本质是吲哚乙酸;由色氨酸经一系列反应合成。
试题详情
5.生长素的生理作用:(必修3,第50页)
具有两重性,既能促进生长,也能抑制生长;
既能促进发芽,也能抑制发芽;
既能防止落花落果,也能疏花疏果。
试题详情
6..顶端优势指什么现象?原因是什么?如何解除?(必修3,第50页)
顶端优势顶芽优先生长,而侧芽受到抑制的现象;
原因:顶芽产生的生长素集中在侧芽部位,抑制了侧芽的生长;
解除方法:摘除顶芽。
试题详情
7.生长素类似物在农业生产中的应用:(必修3,第51页)
防止果实和叶片的脱落、促进结实、获得无子果实、促使扦插枝条的生根。
试题详情
8.其他植物激素的种类,合成部位,作用? (必修3,第54页)
赤霉素:
促进细胞伸长;从而引起植株增高;促进种子萌发;
细胞分裂素;促进细胞分裂;
脱落酸:抑制细胞分裂,促进叶和果实的衰老和脱落;
乙烯:促进果实成熟
试题详情
9.植物生长调节剂对扦插枝条生根的作用
(1)实验原理是什么?(必修3,第51页)
用一定浓度的生长素类似物浸泡难以生根的林木枝条,促进枝条生根,提高扦插枝条的成活率。
(2)结果分析(必修3,第52页)
生长素类似物的作用和生长素相同,浓度适宜能促进扦插枝条生根,浓度过高会抑制扦插枝条生根。
试题详情
10.探索生长素类似物促进插条生根的最适浓度(必修3,第51页)
试题详情
方法: 浸泡法
沾蘸法
单一变量:配制一系列生长素类似物的浓度梯度,其余的都相同(插条的种类、处理的时间、扦插的土壤等都要求相同)
试题详情
试题详情
1.
反射和反射弧 (必修3,第16页)
反射的概念:在中枢神经系统的参与下,动物体或人体对内外环境变化作出规律性的应答。
反射弧通常由感受器,传入神经,神经中枢,传出神经,效应器(传出神经末梢以及它所支配的肌肉或腺体)组成。
试题详情
试题详情
细胞体
神经元
突起(包括树突和轴突)
神经元:神经系统结构和功能的基本单位。
试题详情
3.简述兴奋在神经纤维上的传导过程。(必修3,第18页)
静息电位:外正内负;动作电位:外负内正
兴奋沿神经纤维的传导具有双向性,兴奋以电信号的形式沿神经纤维传导的。
试题详情
4.突触的结构组成(必修3,第19页)
5.兴奋在神经元之间的传递有何特点?为什么有这特点?(必修3,第19页)
单向传递;由于神经递质只存在于突触前膜的突触小泡内,只能由突触前膜释放,然后作用于突触后膜上。
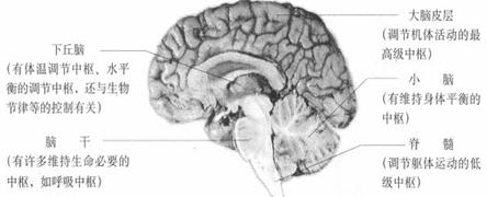
6.人脑的组成及各部分功能(必修3,第20页)
试题详情

7.人的语言中枢的位置及功能(必修3,第21页)
8.举例说明激素间的协同作用与拮抗作用。(必修3,第27页)
协同作用:如生长激素和甲状腺激素;
拮抗作用:如胰岛素和胰高血糖素。
9.第一种发现的激素:(必修3,第24页)
促胰液素
试题详情
试题详情
10.人体主要的内分泌腺所分泌激素种类与主要作用(必修3,第25页)
11.血糖的平衡与调节(必修3,第25页)
试题详情

胰岛素:降血糖
胰岛B细胞
胰高血糖素:升血糖 胰岛A细胞
12.甲状腺激素分泌的分级调节(必修3,第28页)
试题详情

下丘脑
试题详情
试题详情
TRH
试题详情
垂体
试题详情
试题详情
TSH
甲状腺
试题详情
试题详情
甲状腺激素
试题详情
细胞代谢
13.激素调节的特点(必修3,第28页)
微量和高效、通过体液运输、作用于靶器官、靶细胞
试题详情
试题详情
1.单细胞生物与环境之间的物质交换?(必修3,第2页)
单细胞生物与环境之间的物质交换是直接的。单细胞生物直接从环境中获得养料和水,并把废物直接排到环境中。
试题详情
2.什么是内环境?包括哪些组分?(必修3,第3页)
由细胞外液构成的液体环境叫做内环境;由组织液,血浆和淋巴构成。
试题详情
试题详情

内环境
体液
淋巴
细胞内液:
试题详情
3. 现代观点认为内环境稳态的调节机制是什么?(必修3,第9页)
神经――体液――免疫调节
4.什么叫渗透压?内环境渗透压主要由谁维持?正常状态下,人的血浆渗透压
约为多少?(必修3,第5页)
渗透压是指溶液中溶质微粒对水的吸引力。内环境的渗透压的大小取决于单位体积溶液中溶质微粒的数目;正常状态下,人的血浆渗透压约为770kpa,相当于细胞内液的渗透压。
5.血浆正常的酸碱度是多少?(必修3,第5页)
试题详情
试题详情
6.HCO3-,HPO42-,可能起什么作用?(必修3,第5页)
构成缓冲物质,用于维持内环境的酸碱平衡。
试题详情
7.什么是内环境稳态?(必修3,第8页)
正常机体通过调节作用,使各个器官,系统协调活动,共同维持相对稳定的状态叫做稳态。
试题详情
8.内环境稳态与哪些系统直接相关?(必修3,第8页)
消化、呼吸、循环、排泄系统四大系统
试题详情
9.请较为具体说明内环境稳态的重要意义?(必修3,第9页)
细胞的代谢过程是由细胞内众多复杂的化学反应组成的,完成这些反应需要各种物质和条件。而维持内环境稳态可以提供反应所需的物质与条件,如温度,酸碱度等。所以说内环境稳态是机体进行正常生命活动的必要条件。
试题详情
10.内环境稳态与健康的关系(必修3,第9页)
内环境稳态是机体进行正常生命活动的必要条件。
试题详情
11. 人和高等动物生命的调节方式(必修3,第31页)
试题详情
神经调节(主导)
体液调节
试题详情
12.体液调节的概念?与激素调节是何关系?(必修3,第31页)
激素等化学物质(除激素外,还有其他调节因子,如CO2),通过体液传送的方式对生命活动进行调节,称为体液调节;激素调节是体液调节的主要内容。
试题详情
13.神经调节和体液调节特点的比较(必修3,第31页)
比较项目
神经调节
体液调节
作用途径
反射弧
体液运输
反应速度
迅速
较缓慢
作用范围
准确、比较局限
较广泛
作用时间
短暂
比较长
试题详情
14.简述人的体温调节。(必修3,第32页)
体温调节的方式是神经-体液调节
人体体温的稳定是机体产热和散热达到动态平衡的结果
人体热量的主要来源是细胞中的有机物的氧化分解(细胞呼吸),其中尤其以骨骼肌和肝脏的细胞呼吸产热多。
人体的热量主要通过汗液的蒸发、皮肤毛细血管的散热,还可通过呼气、排尿、排便等散失部分热能。
试题详情
试题详情
试题详情
导致细胞外液渗透压升高的因素:(见右侧)
感受细胞外液渗透压变化的结构:下丘脑渗透压感受器
抗利尿激素是下丘脑分泌由垂体释放的,作用是促进肾小管、集合管对水的重吸收,从而减少尿量。
产生渴觉的器官是大脑皮层
试题详情
16.简述免疫系统的组成及其作用。(必修3,第35页)
试题详情
试题详情
试题详情
第一道防线:皮肤、黏膜
非特异性免疫
第二道防线:体液中的杀菌物质和吞噬细胞
第三道防线:免疫器官和免疫细胞 ――――― 特异性免疫
试题详情
18.抗原与抗体(必修3,第37页)
抗原:(病毒、细菌、自身衰老、损伤的细胞、癌细胞)
抗体:球蛋白(浆细胞产生)
试题详情
试题详情
试题详情
试题详情
试题详情

记忆细胞
试题详情
试题详情
试题详情

靶细胞裂解死亡
试题详情
记忆细胞
试题详情
21.抗体由谁产生?化学本质是什么?它的形成与分泌和哪些细胞器有关?(必修3,第37页)
抗体由浆细胞产生;化学本质是蛋白质;其形成与分泌和核糖体,内质网,高尔基体和线粒体有关。
试题详情
22.细胞免疫的作用对象是什么?(必修3,第37页)
侵入机体细胞的病原体。
试题详情
试题详情
试题详情
24.艾滋病的全称,病原体及存在部位。(必修3,第36页)
全称获得性免疫缺陷综合征;病原体是HIV病毒;侵染T细胞
试题详情
25.艾滋病的发病机理如何?(必修3,第36页)
HIV病毒主要侵染T细胞,使机体几乎丧失一切免疫功能。
试题详情
26.艾滋病的主要传播途径有哪些?如何预防?(必修3,第41页)
主要传播途径是血液传播,性传播、母婴传染。而共用注射器吸毒和性滥交是传播的主要危险途径。因此要拒绝毒品,洁身自爱。
试题详情
试题详情
1.什么是种群?(必修3P59)
在一定的自然区域内,同种生物的全部个体形成种群。
如一片森林中的全部猕猴是一个种群,一片草地中的全部蒲公英是一个种群。
试题详情
2.种群的特征有哪些? 种群的最基本特征是什么? 决定种群的大小和密度的特征有哪些? (必修3P60)
种群的特征有种群密度、出生率和死亡率、迁入率和迁出率、年龄组成、性别比例。
种群密度是种群最基本的数量特征。
决定种群的大小和密度的特征有出生率和死亡率、迁入率和迁出率。
试题详情
3.种群的年龄组成分为哪些类型?有何用途? (必修3P63)
增长型、稳定型、衰退型,可以预测种群密度的变化趋势。
试题详情
4.可以用哪些方法调查种群密度?分别适用对象是什么? (必修3P61、62、68、75)
样方法:植物和运动能力弱的动物
标志重捕法:活动能力强的动物
用血球计数板记数法:微生物
用取样器进行采集、调查的方法:土壤中的小动物
试题详情
5.样方法中取样的大小一般是多大? 样方法中取样的关键是什么?取样的方法有哪些?如何计算所调查植物的种群密度? (必修3P61)
样方法中取样的大小一般是1m×1m。
样方法中取样的关键是随机取样。
取样的方法有五点取样法和等距取样法等。
计算所调查植物的种群密度应取所有样方种群密度的平均值。
试题详情
6.在对某种鼠的调查中,调查范围是1公顷,第一次捕获并标记m只鼠,第二次捕获n只鼠,其中有标记的鼠x只,如何计算结果? (必修3P62)
该范围内鼠的种群密度=mn/x(单位:只/公顷)
试题详情
7.种群增长在什么条件会呈J型增长? 增长的公式是什么? 自然界中存在这种增长方式吗?举例说明?种群长时间呈J型增长会造成什么后果? (必修3P66)
J型增长的条件:食物和空间条件充裕、气候适宜、没有敌害等理想条件下。
J型增长的公式:Nt=Noλt No为种群起始数量,Nt为t年后种群数量,λ为种群数
量为前一年的倍数,即种群增长率。J型增长的条件下种群增长率保持不变。
自然界中存在这种增长方式,通常发生在一个种群新迁入一个适宜的新环境后在一段时间内往往呈J型增长。
种群长时间呈J型增长会造成生态系统的稳定性被破坏。
试题详情
8.什么是环境容纳量?环境容纳量会发生改变吗?(必修3P67)
在环境条件不受破坏的情况下,一定空间中所能维持的种群最大数量称为环境容纳量,又称K值。
环境容纳量也会随着环境的变化而发生改变。如大熊猫栖息地遭到破坏后,由于食物的减少和活动范围的缩小,其K值就会变小。
试题详情
9.在自然界中,影响种群数量的因素有哪些?(必修3P67)
气候、食物、天敌、传染病等。
试题详情
10.研究种群数量变动的意义(必修3P68)
研究种群的变化规律以及影响种群数量变化的因素,对于有害动物的防治、野生生物资源的保护和利用,以及濒危动物种群的拯救和恢复,都有着重要意义。
试题详情
11.生物群落的概念和结构特征分别是什么?(必修3P71)
概念:同一时间内聚集在一定区域中各种生物种群的集合叫做群落。
结构特征:群落的物种组成、种间关系、群落的空间结构等方面。
试题详情
12.什么是物种丰富度?(必修3P72)
群落的物种组成是区别不同群落的重要特征。
群落中物种数目的多少称为丰富度。不同群落的物种丰富度不同,热带地区最大,向地球两极延伸则逐渐减少。
试题详情
13.种间关系主要有哪几种类型?(必修3P73)
种间关系共分为四种常见类型:捕食、竞争、寄生、互利共生。
捕食:一种生物以另一种生物作为食物。
竞争:两种或两种以上生物相互争夺资源和空间等。竞争的结果常表现为相互抑制,有时表现为一方占优势,另一方处于劣势甚至灭亡。
寄生:一种生物(寄生者)寄居于另一种生物(寄主)的体内或体表,摄取寄主的养分以维持生活。
互利共生:两种生物共同生活在一起,相互依存,彼此有利。例如,豆科植物和根瘤菌。
试题详情
14.群落的空间结构分哪几方面?(必修3P74)
群落的空间结构分为垂直结构和水平结构两个方面。
垂直结构表现为具有明显的分层现象,水平结构表现为群落常呈镶嵌分布。
森林群落中影响植物和动物垂直分层现象的主要因素分别是:光照和食物。
试题详情
15.群落演替的过程和主要类型(必修3P79、80)
群落演替主要类型分为初生演替和次生演替两种类型。
初生演替是指在一个从来没有被植物覆盖的地面,或者是原来存在过植被、但被彻底消灭了的地方发生的演替。如裸岩上演替,过程:裸岩阶段→地衣阶段→苔藓阶段→草本植物阶段→灌木阶段→森林阶段。
次生演替是指在原有植被虽已不存在,但原有土壤条件基本保留,甚至还保留了植物的种子或其他繁殖体(如能发芽的地下茎)的地方发生的演替。如弃耕农田上的演替,过程:弃耕农田→一年生杂草→多年生杂草→灌木丛→树林。
试题详情
16.人类活动对群落演替的影响是什么?(必修3P81)
会使群落的演替按照不同于自然演替的速度和方向进行。
试题详情
试题详情
1.生态系统的概念是什么?有哪些类型?(必修3P88)
生态系统是由生物群落和它的无机环境相互作用而形成的统一整体。
生态系统的类型有:
试题详情
自然生态系统 水域生态系统包括海洋生态系统、淡水生态系统
陆地生态系统包括森林、草原、荒漠、冻原等生态系统
人工生态系统包括农田、人工林、果园、城市生态系统
试题详情
2.生态系统的结构组成?(必修3P89)
生态系统的结构包括生态系统的组成成分、食物链和食物网。
试题详情
3.生态系统的组成成分有哪些?分别包括哪些常见的生物?(必修3P90)
非生物的物质和能量:阳光、热能、水、空气、无机盐等
生产者:主要是绿色植物
消费者:大多数动物,包括植食、肉食动物,杂食和寄生动物
分解者:腐生的细菌、真菌等生物
试题详情
4.生产者都是自养型生物吗?消费者都是异养型生物吗?
生产者都是自养型生物,自养型生物都是生产者。
消费者都是异养型生物,异养型生物除了消费者还有分解者。
试题详情
5.食物链:草→蝗虫→蜘蛛→螳螂→食虫鸟,请分析其中的消费者类型及营养级类型?
草
→ 蝗虫 → 蜘蛛 → 螳螂 → 食虫鸟
↓ ↓
↓
↓
↓
消费者类型: ↓ 初级消费者 次级 三级
四级
营养级类型: 第一营养级 第二 第三 第四
第五
试题详情
6.生态系统的营养结构是什么?有何作用?(必修3P92)
生态系统的营养结构是食物链和食物网,它是生态系统能量流动和物质循环的渠道。
试题详情
7.什么是指能量流动?(必修3P93)
生态系统中能量的输入、传递、转化和散失的过程。
试题详情
8.某一营养级生物同化的能量的去向有哪些?(必修3P94)
①自身呼吸散失(以热能形式散失) ②被下一营养级生物同化的能量
③被分解者分解
④部分未被利用
试题详情
9.生物摄入的能量都能够被同化吗?(必修3P94)
不能,摄入的能量除够被同化,还有部分未同化而以粪便的形式被分解者分解。
试题详情
10.能量流动的特点是什么?(必修3P95)
单向流动,逐级递减
试题详情
11.研究能量流动的实践意义有哪些?(必修3P96)
①帮助人们科学规划、设计人工生态系统,使能量得到高效利用
如将秸杆做饲料喂牲畜,让牲畜的粪便发酵制作沼气做燃料,沼渣做肥料,通过这些方法相比直接焚烧秸杆而言能够实现能量的多级利用,大大提高能量利用率。
又如桑基鱼塘也是体现这一原理。
②帮助人们合理调整生态系统能量流动关系,使能量持续高效地流向对人类最有益的部分。
如草场要确定合理的载畜量,达到既能充分利用牧草所提供的能量,又不会导致草场退化,实现畜产品的持续高产。
试题详情
12.碳循环的主要形式是什么?有何特点?(必修3P101)
碳循环的主要形式是CO2,特点是具有全球性。
试题详情
13.CO2进入生物群落是通过什么成分的怎样的生理过程实现的?(必修3P101)
绿色植物(生产者)的光合作用
试题详情
14.生物群落中的碳以什么形式存在?以什么形式在群落内部流动?以什么形式返回无机环境?通过怎样的过程实现的?(必修3P101)
生物群落中的碳以有机物形式存在,以有机物形式在群落内部流动,以CO2形式返回无机环境,
生物群落中的碳返回无机环境的途径有:动植物的呼吸作用、微生物的分解作用、化石燃料的燃烧,以CO2形式返回无机环境。
试题详情
15.物质循环的特点?(必修3P101)
具有全球性、可以循环反复利用
试题详情
16.生态系统的主要功能是什么?(必修3P103)
能量流动和物质循环
试题详情
17.能量流动和物质循环的关系?(必修3P103)
两者同时进行,彼此相互依存,不可分割。
物质作为能量的载体,使能量沿着食物链(网)流动;能量作为动力,使物质能够不断地在生物群落和无机环境之间循环往返。
试题详情
18.生态系统中的信息的种类有哪些?(必修3P105、106)
物理信息:光、声、温度、湿度、磁力等。如蜘蛛网的振动频率,蝙蝠发出的超声波
化学信息:动物的性外激素,信息素等
行为信息:蜜蜂跳舞、孔雀开屏等
试题详情
19.生态系统中的信息传递作用是什么?(必修3P107)
①生物的生命活动正常进行离不开信息的作用
②生物种群的繁衍离不开信息的传递
③调节生物种间关系,维持生态系统的稳定
试题详情
20.信息传递在农业生产中的应用(必修3P107)
两个方面:一是提高农产品或畜产品的产量,二是对有害动物进行控制。
试题详情
21.生态系统的稳定性的概念?包括哪两个方面?(必修3P109)
生态系统所具有的保持或恢复自身结构与功能相对稳定的能力叫做生态系统的稳定性。包括抵抗力稳定性和恢复力稳定性两个方面。
试题详情
22.生态系统具有稳定性的原因?及其基础是什么?(必修3P109)
生态系统具有稳定性的原因是生态系统具有自我调节能力。
生态系统具有自我调节能力的基础是负反馈调节方式的普遍存在。
试题详情
23.抵抗力稳定性和恢复力稳定性的大小判断?两者的关系如何?(必修3P111)
生态系统的组分越多,食物网越复杂,生态系统的自我调节能力越大,反之则越小。
生态系统的自我调节能力越大则抵抗力稳定性越大,同时恢复力稳定性一般越小。
抵抗力稳定性和恢复力稳定性在不同的生态系统中能力的大小是不同的,而且两者一般是相反的关系,但在自然气候恶劣的条件下,两者往往都比较弱,如北极苔原生态系统。
试题详情
24.如何提高一个生态系统的抵抗力稳定性?
增加生物种类
试题详情
25.人类活动对生态系统稳定性的影响有哪些?
人类对自然资源的不合理的开发利用造成许多生态系统的稳定性被破坏,主要表现在植被的破坏,水土流失、土壤荒漠化、自然资源匮乏及日益严重的环境污染等方面。
试题详情
试题详情
1.我国人口急剧增长的主要原因是什么?(必修3P118)
出生率较高和逐渐下降的死亡率,形成了巨大的“落差”,从而使人口增长加快;人口基数过大也是原因之一。
试题详情
2.我国的人口现状如何?(必修3P119)
人口增长过快得到了有效控制,人口出生率和自然增长率明显下降,目前已进入低生育水平国家的行列。
试题详情
试题详情
2005年,人口总数要控制在13.3亿以内;2010年,人口总数要控制在14亿以内,21世纪中叶,人口总数达到峰值(接近16亿)以后,将开始缓慢下降,从而基本实现人口与经济、社会、环境和资源的协调发展。
试题详情
4.人口增长对生态环境有哪些影响?(必修3P120)
(1)人口增长,促使人们过度利用耕地和开垦出更多的农田,导致植被遭到破坏,进一步导致气候恶化,自然灾害频繁,又直接导致了可耕地面积减少。
(2)人口增长,对地下水资源的过度开采利用,使大部分城市面临水资源紧缺的问题。
(3)人口增长,需要更多的能源,出现了能源问题。过多的开采化石燃料,导致了环境恶化,例如酸雨、温室效应等。
试题详情
5.全球性生态环境问题主要有哪些?(必修3P123)
全球性生态环境问题主要包括全球气候变化、水资源短缺、臭氧层破坏、酸雨、土地荒漠化、海洋污染和生物多样性锐减等。
试题详情
6.全球气候变化如何,产生怎样的后果?(必修3P124)
二氧化碳等温室气体的大量排放,引起全球气候变暖,导致极地的冰雪和高山的冰川融化、海平面上升等。
试题详情
7.海洋污染的来源有哪些?(必修3P124)
各种污染物通过河流和空气进入海洋,以及海洋运输时的石油泄露和倾倒污染物等造成海洋污染。
试题详情
8.引发臭氧层破坏的原因是什么?臭氧层破坏有哪些影响?(必修3P124)
原因:氟里昂等物质的大量排放。
影响:臭氧层破坏导致地球上的紫外线辐射增强,人类的皮肤癌和白内障患病率上升,植物的光合作用受到抑制等。
试题详情
9.导致土地荒漠化的主要原因是什么?(必修3P124)
植被的破坏。
试题详情
10.生物多样性的组成有哪些? (必修3P124)
生物圈内所有的植物、动物和微生物,它们所拥有的全部基因以及各种各样的生态系统,共同构成了生物多样性。
试题详情
11.生物多样性的价值有哪些?(必修3P125)
生物多样性的价值包括以下三个方面:
一是目前人类尚不清楚的潜在价值;
二是对生态系统起到重要调节功能的间接价值;(也叫生态功能)
三是对人类有食用、药用和工业原料等实用意义的,以及有旅游观赏、科学研究和文学艺术创作等非实用意义的直接价值。
试题详情
12.从哪几个层次上保护生物多样性?
基因、物种、生态系统。
试题详情
13.保护生物多样性的措施有哪些?(必修3P126)
就地保护、易地保护。
试题详情
14.就地保护的含义和意义?(必修3P126)
就地保护原地对被保护的生态系统或物种建立自然保护区以及风景名胜区等。
就地保护是对生物多样性最有效的保护。
试题详情
15.易地保护的含义和意义?(必修3P126)
易地保护是指把保护对象从原地迁出,在异地进行专门保护。
易地保护是为行将灭绝的物种提供最后的生存机会。
试题详情
16.可持续发展的含义。(必修3P128)
“在不牺牲未来几代人需要的情况下,满足我们这代人的需要”,它追求的是自然、经济、社会的持久而协调的发展。
3.7实验
试题详情
1.植物生长调节剂对扦插枝条生根的作用(必修3P51)
(1)实验原理是什么?
用一定浓度的生长素类似物浸泡难以生根的林木枝条,促进枝条生根,提高扦插枝条的成活率。
(2)实验步骤是怎么样的?
将生长素类似物配制成10-8mol/L、10-4mol/L、10-2mol/L三种浓度,剪取某种植株的枝条若干,分为A、B、C三组,浸泡一定时间,然后将其扦插在校园生物角的土壤中,观察枝条的长势情况。分析实验结果,提出促进植物生长的生长素类似物的最适浓度。
(3)结果分析(必修3P52)
生长素类似物的作用和生长素相同,浓度适宜能促进扦插枝条生根,浓度过高会抑制扦插枝条生根。
试题详情
2.培养液中酵母种群数量的动态变化(必修3P68)
(1)方案设计过程是怎样的?
培养一种酵母菌种群的数量是怎样随时间变化的?
二、作出假设
开始一段时间酵母菌种群的数量呈J型增长,随着时间的推移,环境中的资源和空间变得有限,酵母菌种群的数量呈S型增长。
三、设计实验
①全班同学分成甲、乙、丙等若干实验组。
②分别用等量培养液,在相同适宜环境中培养等量酵母菌。
③每天用血球计数板,采用抽样检测的方法计数一个小方格内的酵母菌数量并作记录,连续7天。
④7天后,各组向全班汇报本小组7天的数据,算出每一天数据的全班平均值,根据平均值画出酵母菌种群数量的增长曲长。
(一)材料用具
试题详情
四、实验过程
探究所需要的菌种和无菌马铃薯培养液或肉汤培养液、试管、血球计数板(2mm×2mm×0.1mm方格)、滴管、显微镜等。
(二)方法步骤和记录
试题详情
1、取相同试管若干支,分别加入5ml肉汤培养液,塞上棉塞。
试题详情
2、用高压锅进行高压蒸汽灭菌后冷却至室温,标记甲、乙、丙等。
试题详情
3、将酵母菌母液分别加入试管各5ml,摇匀后用血球计数板计数起始酵母液个数,做好记录。
试题详情
4、将各试管送进恒温箱,25℃下培养7天。
(三)现象观察
每天同一时间,各组取出本组的试管,用血球计数板计数酵母菌个数,并作记录,连续观察7天。
试题详情
菌数 时间
试题详情
(2.5×104个) (天)
组别
起始
1
2
3
4
5
6
7
甲
乙
丙
…
…
…
…
…
…
…
…
…
平均
四、实验结论
试题详情
1、根据表格平均值作出培养液中酵母菌种群数量7天中的变化曲线。
试题详情
2、培养液酵母菌种群数量随时间呈S型增长变化。
(2)实验讨论(必修3P68-69)
a.从试管中吸出培养液进行计数之前,建议你将试管轻轻震荡几次,这是为什么?使酵母菌在试管里分布均匀。
b.本探究实验需要设置对照吗?为什么?
不需要。该实验在时间上形成前后对照。
c.需要做重复实验吗?
需要,提高数据的准确性。
d.如果一个小方格内酵母菌过多,难以数清,应当采取怎样的措施?
增加稀释的倍数。
试题详情
3.制作生态瓶(必修3P112)
(1)实验原理是什么?
在有限的空间内,依据生态系统原理,将生态系统具有的基本成分进行组织,构建一个人工微型生态系统是可能的。
(2)实验材料有哪些?
蚯蚓8-10条,蜗牛5-7个,小乌龟2-3只。
浮萍、水草、蕨类植物和一些低矮杂草,仙人掌或仙人球2-3株。
玻璃板4-5m2,粘胶足量;沙土8-10kg,含腐殖质较多的花土40-50kg,自来水足量。
(3)方法步骤如何?
①按100cm*70cm*50cm的标准制作生态缸框架。
②在生态缸底部铺垫沙土和花土,花土在下,一边高,一边低;沙土在上,沙土层层厚5-10cm。
③在缸内低处倒进水。
④将收集或购买的动物和植物放在生态缸中,其中浮萍、水草与小乌龟放在水中,仙人掌或仙人球移植到沙土上,蕨类植物和杂草移植到花土上,蚯蚓与蜗牛也放置在花土上。
⑤封上生态缸盖。将生态缸放置于室内通风、光线良好的地方,但要避免阳光直接照射。
(4)实验结论是什么?
人工制作的生态缸,其生态系统可以较长时间的相对稳定。
(5)此设计实验成功的关键之处是什么?
①生态缸中放置的生物必须具有较强的生活力,放置生物的数量要合适。
②要考虑系统内不同营养级生物之间的合适比例。
③定期观察,同时做好观察记录。
④如果发现生态缸中的生物已经全部死亡,说明此时该生态系统的稳定性已被破坏,记录下发现的时间。
试题详情
4.调查当地生态环境中的主要问题
(1)如何制定调查方案?
可分成4―6人的调查小组,到当地环保部门咨询,也可通过图书馆、刊物、互联网收集资料,最好有能说明问题的数据图表、图片等,把调查结果详细记录下来,分析导致环境污染的原因,讨论如何从根本上解决环境污染问题。
(2)数据的分析处理结论是什么?
试题详情
据中国社会科学院发表的关于“20世纪90年代中期中国环境污染经济损失估算”的报告,1995年中国环境污染造成的经济损失高达1875亿元,占当年GDP的3.27%。这一经济损失主要由3个部分造成:一是大气污染,二是水污染,三是固体废弃物和其它污染。其中水污染造成的损失最为庞大,仅仅是人类生产活动中产生和排放的废弃物进入自然界水体所造成的水体污染而带来的损失,就达到了1428. 9亿元,占全部经济损失值的76.20%;酸雨也是一个“大杀手”,大气污染造成的损失占总损失的16.1%;因悬浮颗粒物影响导致的人体健康损失估算为171亿元。黄河流域水资源保护局组织专家对黄河水污染危害进行量化分析,得出了惊人的黄河水污染账,每年造成的经济损失约115亿―156亿元。山西省大同人用“挖了一堆煤,冒了一股烟,黑了一条河,留了一堆渣”来形容多年来挖煤发电的结果,送出去的是煤和电,留下的却是废渣、废水、废气。“三废”对环境的危害是极其严重的,很多大城市就面临“垃圾围城”、水荒、酸雨、“毒雾”等侵害,为不注重环境保护面付出了高昂的代价。
试题详情